Nuestros Servicios

Consulta Médica-Cardiológica
Los servicios de consulta los dirige el cardiólogo, médico especializado en el diagnóstico, tratamiento y prevención de enfermedades propias del sistema cardiovascular.

Valoración Preoperatoria
La preparación de un paciente para cirugía requiere la comprensión del estado del paciente, la cirugía y los riesgos y alteraciones fisiológicas de cada técnica anestésica.

Electrocardiograma
Una manera de diagnosticar los problemas cardíacos es mediante un electrocardiograma (ECG o EKG), este servicio ofrecen el estudio de la actividad eléctrica del corazón.

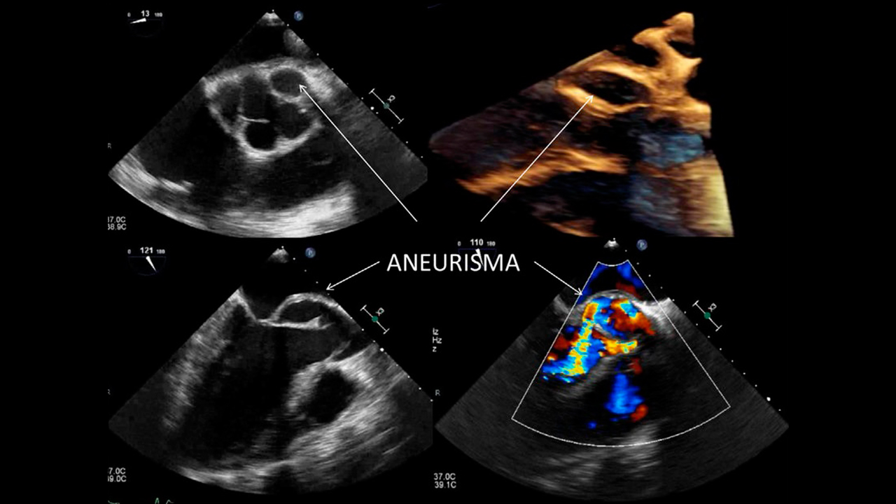
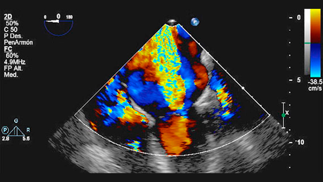
Ecocardiograma Transtorácico y Transesofágico
El ecocardiograma transtorácico no provoca molestias y no necesita preparación, consiste en la colocación externa del transductor en la pared torácica para ir observando las diferentes partes del corazón. La ecocardiografía transesofágica se realiza con una sonda a través de la boca y requiere sedación.

Ecocardiograma de Estrés Farmacológico con Dobutamina o Dipiridamol
Estos servicios se realizan mediante medicamentos como la dobutamina o el dipiridamol. Se realiza la comparación del movimiento de los distintos segmentos del corazón en reposo y durante la inyección del fármaco.

Prueba de Esfuerzo (Ergometría)
La prueba de esfuerzo, también conocida como ergometría, muestra cómo se comporta el corazón durante la actividad física. El ejercicio hace que el corazón bombee con más fuerza y más rápido. Los servicios de prueba de esfuerzo pueden indicar problemas con el flujo sanguíneo dentro del corazón.

Monitoreo ambulatorio de presión arterial (MAPA)
Es una prueba con la que se pretende medir la presión arterial de un paciente de forma periódica, fuera del contexto médico-hospitalario, durante un periodo de tiempo programable, generalmente durante las 24 horas del día.

Monitoreo Holter Cardiaco de 24 horas
Estos servicios se usan en pacientes con sospecha de arritmia cardíaca o para diagnosticar una isquemia silente, en varios canales simultáneos (por lo general 10), lo que permite la mejor visualización de los eventos.